9:00 - 10:30 Live Demonstration 1
名越 良治先生大阪府済生会中津病院
Target lesion : LM bifurcation (111)
- 80’s year-old-female
- DxAngina Pectoris
- Risk factorDM,DL
- Clinical course
- 2024/4
- Admission for AHF
CAG #2 100%, #5 90%, #6 50%, #7 50%, #11 50%, #13 75% - 2024/5
- PCI:#2 100%→25%(DCB 2.5×25mm)
- 2024/9
- Coronary CT LAD FFR 0.54, LCx FFR <0.5
- TTEEF 34%, Dd/Ds 59/52mm, Asynergy inferior sH
- Renal functionCr 0.88mg/dl , eGFR 46.4
- HBR2 major, 3 minor
- Syntax24
- Syntax ⅡPCI 54.0/41.1%, CABG 43.1/19.2% (CABG recommend)
-
ECG

NSR, HR 81
-
RCA pre-post CAG
-
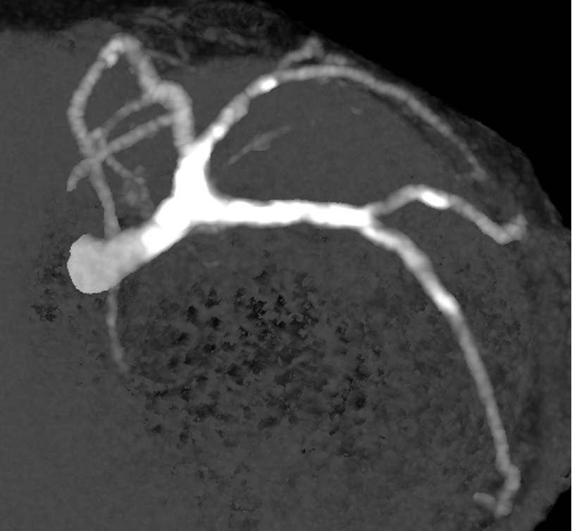
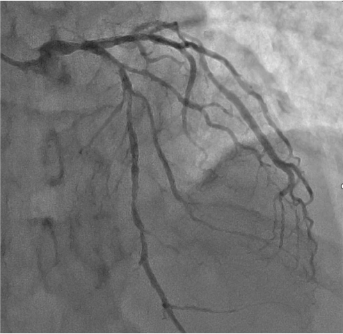
LCA CAG
-
LCA CAG
-
OCT pullback from LAD
-
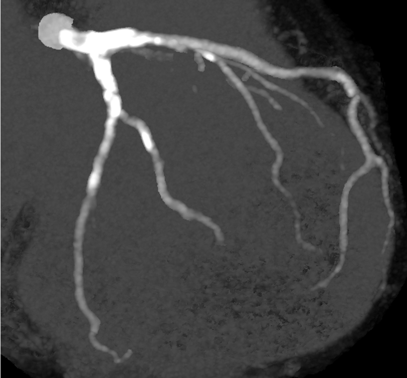
冠動脈CT


-
FFRCT

11:10 - 12:40 Live Demonstration 2
木下 順久先生豊橋ハートセンター
Target lesion : LM bifurcation (110)
- 50’s year-old-male
- DxAngina Pectoris
- Risk factorDM, DL, Smoking
- Clinical course
- 2024/8
- Admission for STEMI
CAG #4PL 100%, #5 75%, #6 90%, #7 25%, #13 25%
emPCI #4 PL 100%→0% (DES 3.0×19mm) - 2024/9
- Coronary CT LAD FFR 0.66
- TTEEF 52%, Dd/Ds 55/43mm, Asynergy inferior sH
- Renal functionCr 0.74mg/dl , eGFR 87.8
- HBRNone
- Syntax20
- Syntax ⅡPCI 16.7/2.3%, CABG 17.5/2.4% (CABG or PCI)
-
ECG

NSR, HR 57
-
RCA pre-post CAG
-
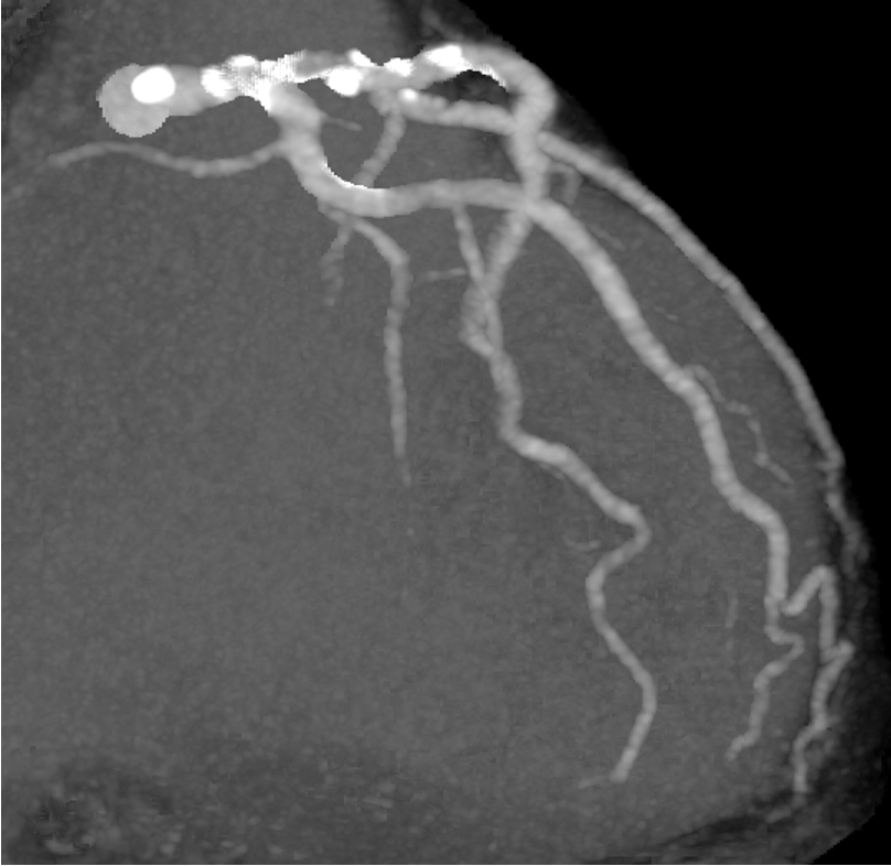
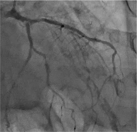
LCA CAG
-
Coronary CT


-
FFRCT

13:10 - 14:40 Live Demonstration 3
上月 周先生大阪府済生会中津病院
Target lesion : LM bifurcation (110)
- 80’s year-old-male
- DxSilent myocardial ischemia
- Risk factorHT, DM, Past smoking
- Clinical course
- 2024/8
- Admission for NSTEMI
CAG #1 90%, #2 99%delay, #5 75%, #6 90%, #7 50%, #14 50%
emPCI RCA 99%→0% (DES 4.0×28mm, 2.5×48mm)
- TTEEF 49%, Dd/Ds 54/42mm, Asynergy inferior H, Mild AS
- Renal functionCr 0.94mg/dl , eGFR 58.4
- HBR0 major, 3 minor
- Syntax27
- Syntax ⅡPCI 48.7/28.8%, CABG 57.6/51.2% (CABG or PCI)
-
RCA pre-post CAG
-
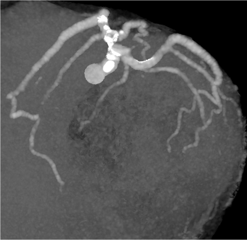
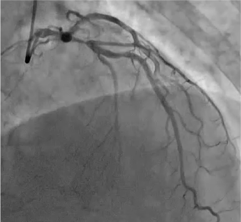
LCA CAG
-
LCA CAG
15:20 - 16:50 Live Demonstration 4
小出 正洋先生京都岡本記念病院
Target lesion : LAD-Dx bifurcation (101)(011)
- 60’s year-old-male
- DxSilent myocardial ischemia
- Risk factorHT, DL, DM, Smoking
- Clinical course
- 2024/3
- CLTI EVT for Lt ATA/PTA CTO→25%
- 2024/9
- minor amputation
- 2024/11
- CAG #2 50%, #3 75%, #4PD 75%, #4PL 50%, #5 50%, #6 75%, #7 75%, #8 75%, #9 75%, #10 75%, #11 50%, #13 75%
- FFR LAD 0.55, LCx 0.69, RCA 0.58
- TTEEF 69%, Dd/Ds 39/24mm, No Asynergy
- Renal functionCr 1.13mg/dl , eGFR 52.2
- HBR0 major, 1 minor
- Syntax 61
- Syntax Ⅱ PCI 48.1/27.5%, CABG 38.1/13.0% (CABG or PCI)
-
ECG

NSR, HR 77
-
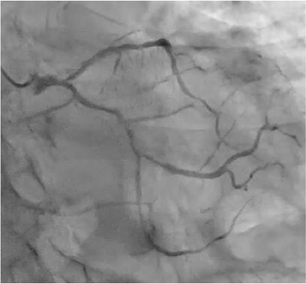
LCA CAG
-
RCA CAG
-
LAD FFR & Dx RFR


